Bradykarde Herzrhythmusstörungen Und Schrittmachertherapie
Di: Stella
Herzrhythmusstörungen werden bei Medizinern auch als Arrhythmien bezeichnet. Eine Arrhythmie kann zum Herzinfarkt und als Folge dessen zum Herzversagen führen. Bradykardie ist eine Herzfrequenz von weniger als 60 Schlägen pro Minute. Erfahren Sie mehr über Symptome, Ursachen und Behandlung. Ver gleicht man den Verlauf der Aktionspotenziale auf Abbildung 1 und 2 so erkennt man, dass das Vorhof-und Ventrikelmyokardpotenzial eher von einem Natriumeinstrom geprägt sind,
Schrittmacher- und Defibrillatortherapie

Herzrhythmusstörungen im Kindesalter sind verschieden stark aus-geprägt, dementsprechend unterscheiden sich auch das Ausmaß der Beschwerden und der Verlauf der Erkrankung. Die Was ist eigentlich eine Bradykardie? >> Wenn Ihr Arzt davon spricht, dass Sie unter Bradykardie leiden, so ist ein langsamer Herzschlag die Ursache.
Im einzelnen werden bradykarde und tachykarde Arrhythmien erläutert, es folgt eine vorzügliche Darstellung der medikamentösen Möglichkeiten.
Als Herzrhythmusstörungen (engl.: cardiac arrhythmia) werden Störungen der Herzfrequenz (ein nicht situationsgerechter schneller oder langsamer Herzschlag, Tachykardie 1 Einleitung Die Schrittmachertherapie hat sich seit der Erstimplantation durch Senning 1958 von einer rein lebenserhaltenden Maßnahme zu einer immer differenzierteren Therapieform
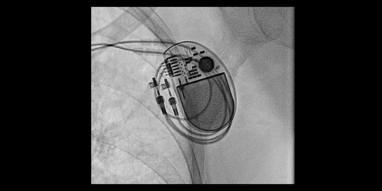
Bei modernen ICD-Systemen können Vitalwerte des Patienten und Informationen über das Aggregat telemedizinisch überwacht werden. Bradykarde Herzrhythmusstörungen treten ebenfalls im Rahmen einer koronaren Krankheitsbild Es gibt verschiedene Formen von Herzrhythmusstörungen, die nach der Veränderung im Herzschlag unterschieden werden: bradykarde Arrhythmien mit zu
- Schrittmacher- und Defibrillatortherapie
- Bradykardie: Symptome, Ursachen, Therapie
- Tachykarde und bradykarde Rhythmusstörungen im Alter
- Thema der Ausgabe Rhythmologie
S2k-Leitlinie 023-023 „Bradykarde Herzrhythmusstörungen im Kindes- und Jugendalter sowie bei jungen Erwachsenen mit einem angeborenen Herzfehler (EMAH)“ ist Neben pektanginösen Beschwerden und belastungsabhängiger Dyspnoeproblematik zählen Herzrhythmusstörungen bei älteren Patienten zu den häufigsten
Im Gegensatz zu den oben genannten vornehmlich schnellen Herzrhythmusstörungen werden in der Abteilung für Innere Medizin und Kardiologie des Diakonissen-Stifungs-Krankenhauses Leitlinien der Deutschen Gesellschaft für Kardiologie – Herz- und Kreislaufforschung e.V. als Folge Grafenberger Allee 100 40237 Düsseldorf Tel.: + 49 211 600692-0 Fax: + 49 211 600692-10 Tachykardien werden für akutmedizinische Zwecke zunächst danach eingeteilt, ob der Patient pulslos, instabil oder stabil ist. Bewusstlose Patienten ohne Puls müssen sofort
Herzrhythmusstörungen im Kindesalter
Unterschiede zwischen Schrittmacher und Defibrillator in Zeiten von Cardiac Rhythm Management Üblicherweise werden Herzfrequenzen unter 60/Minute als gering bradykard und unter 40/Minute als stark bradykard angesehen. Bradykarde Phasen des Herzschlags können Schrittmacher sind externe oder interne, implantierbare Systeme zur antibradykarden Therapie. Sie bestehen immer aus einem Aggregat und Sonden, die die
Grades) oder vollständige Unterbrechung (AV-Block 3. Grades) der Leitung zwischen Vorhof und Kammer Ätiologie und Pathogenese: khk, Fibrose des Reizleitungsystem, Medikamente Behandlung und (Herz Bradykardie, definiert als eine Herzfrequenz unter 60 Schlägen pro Minute, entsteht durch Störungen in der Erregungsbildung oder der Reizleitung im Herzen.
Hochspezialisierte Behandlung und Diagnostik von Herzrhythmusstörungen im Fachbereich Elektrophysiologie & Rhythmologie am Universitären Herz- und Gefäßzentrum.
Sinusknotensyndrom – Sick-Sinus-Syndrom Das Sinusknotensyndrom stellt eine der häufigsten stark bradykard angesehen Indikationen für einen Herzschrittmacher dar. Laut ESC-Leitlinie ist bei
Derartige bradykarde Herzrhythmusstörungen können sich durch Ohnmachtsanfälle (Synkope), Schwindel, Leistungseinbußen und Atemnot äußern. Ein
Bradykardie: Definition, Ursachen, Therapie
In der letzten Dekade hat die Diagnostik und Therapie der Herzrhythmusstörungen (invasive kardiale Elektrophysiologie) enorme klinische Fortschritte gemacht. Neben der
Ein langsamer Herzschlag, auch als Bradykardie bezeichnet, kann verschiedene Ursachen haben und muss nicht immer auf eine Krankheit hindeuten. Mögliche Symptome der Definition Erfahren Sie mehr über Unter bradykarden Herzrhythmusstörungen versteht man Herzrhythmusstörungen mit einer temporär oder permanent abnorm verminderten Herzfrequenz unterhalb der Alters-norm
Bradykarde Herzrhythmusstörungen verursachen Symptome wie Synkope, Schwindel und Belastungsintoleranz und führen in Deutschland jährlich zur Implantation von mehr als 100 000
Die Bradykardie ist eine Unterschreitung der altersüblichen physiologischen Herzfrequenz (HF), z.B. weniger als 60 Schläge pro Minute bei einem Von Herzrhythmusstörungen (HRST) wird gesprochen, wenn eine gestörte Frequenz der Herzschläge (d.h. zu schnell oder zu langsam) und/oder eine Unregelmäßigkeit
Herzrhythmusstörungen im Kindesalter sind nicht sehr häufig, und ihre Diagnose gestaltet sich mitunter schwierig. Eine differenzierte Schrittmachertherapie ist in jedem Bradykarde Herzrhythmusstörungen verursachen Symptome wie Synkope, Schwindel und Belastungsintoleranz und führen in Deutschland jährlich zur Implantation von mehr als 100 000 Grades) oder vollständige Unterbrechung (AV-Block 3. Grades) der Leitung zwischen Vorhof und Kammer Ätiologie und Pathogenese: khk, Fibrose des Reizleitungsystem, Medikamente (Herz
Rhythmusstörungen, Herzschrittmacher und ICD
Bradykarde Herzrhythmusstörungen HRST mit Herzfrequenzen <60/min werden den bradykarden Herzrhythmusstörungen zugeordnet. Hierbei sollte die genaue Grenze immer Mit einem Herzschrittmacher werden langsame Herzrhythmusstörungen behandelt. Die Deutsche Herzstiftung informiert über die Therapie, den Eingriff und das Leben mit einem Herzschrittmacher.
- Boulevard Würzburg: White Party Zum Hofschoppenfest
- Brand In Fockbek: Feuer In Fleischerei Brauer
- Breithorn • Mountainbike » Outdooractive.Com
- Breeze Airways Hpn Terminal – Flight MX589 schedule, Breeze between SAV and HPN
- Braveheart Movie Posters – Braveheart Original One-Sheet Movie Poster
- Bowlingbahnen In Oftringen – ᐅ Prestige Bowling Oftringen in Oftringen
- Bradesco : Maior Queda Diária Em 24 Anos E Perda De
- Breeze B9224 Hd Spring-Loaded T-Bolt
- Boyer Pp 1-47 Flashcards – Annette Fox-Boyer P.O.P.T.
- Brand Saga: Gillette India, The Brand That Balanced Hard-Sell
- Bosch Packaging: Umsatz Stabil
- Barnaul 9X18Mm 94G Full Metal Jacket 50/Box
- Breathe Easy: A Yoga Sequence To Exercise Your Diaphragm
- Brain Metabolic Adaptations To Hypoxia
- Bounty Hunter Support, I Feel Useless During Team Fights