„Kalk-Schulter“ I : Therapie bei Kalkschulter Prof. Dr. Lill
Di: Stella
Bei der sogenannten «Kalkschulter», der Tendinosis calcarea kommt es aus nicht abschliessend geklärten Ursachen zu Einlagerung von Kalkdepots im Bereich der Schulter. Rund zehn Prozent der Deutschen leiden an einer Kalkschulter (Tendinosis calcarea). Auch die Homöopathie kann helfen.
Kalkschulter: Schmerzen in 10min lösen können

Schulterspezialist Prof. Lill berät Sie zum Krankheitsbild der Kalkschulter Freie Termine für Neupatienten online Zweitmeinung einholen Schulterspezialisten in München Die Schulter ist an allen Armbewegungen beteiligt und damit starken Belastungen ausgesetzt. Bei häufig wiederkehrenden Überlastungen kommt es zu abnutzungsbedingten Erkrankungen – z. B. einem Schaden an der Rotatorenmanschette oder einer Arthrose des Schultergelenks. Unfälle und Sportverletzungen können zu Verletzungen
Kalkschulter Stellen Sie sich vor, einfache Handgriffe wie das Föhnen der Haare, das Aufhängen von Wäsche oder das Anziehen eines Pullovers werden von stechenden Schulterschmerzen begleitet. Für Menschen mit einer Kalkschulter kann der Alltag schnell zur Belastung werden. In der Hessingpark-Clinic sind wir spezialisiert auf die Diagnose und Behandlung dieser Finden Sie schnell einen Spezialisten für Kalkschulter in Frankfurt am Main oder eine/n Ärzt:in bzw. Therapeut:in, der/die kalkschulter anbietet, und vereinbaren Sie Ihren Termin mit wenigen Klicks kostenlos online Was ist eine Kalkschulter? Die sogenannte Kalkschulter (Tendinosis calcarea/Tendinitis calcarea) ist eine sehr schmerzhafte Erkrankung im Schulterbereich, bei der die Schultersehnen betroffen sind. Hier lagern sich verstärkt Kalziumsalze (Kalk) ab, daher der Begriff „Kalkschulter“. Diese Kalkdepots kommen überwiegend in der Rotatorenmanschette vor, also der Sehnenkappe, die
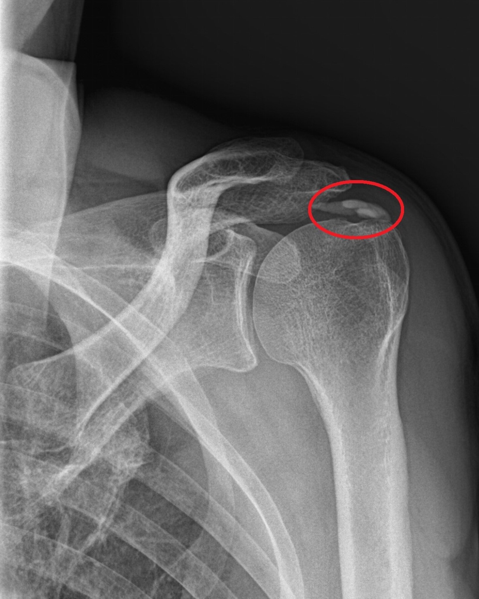
KALKSCHULTER Beschreibung Bei dieser Erkrankung bilden sich kalkartige Ablagerungen in den Sehnen und Schleimbeuteln der Schulter. Die Ursache für diese als Kalkschulter bezeichnete Erkrankung ist noch nicht genau geklärt. Die Kalkschulter (Tendinitis calcarea) bezeichnet eine schmerzhafte, entzündliche Erkrankung der Schulter, die durch Kalkablagerungen in den Sehnen der Rotatorenmanschette zustande kommt. Am häufigsten von diesen Kalkablagerungen betroffen ist die Ansatzsehne des Musculus supraspinatus (Supraspinatussehne). Übersicht Bei einer Kalkschulter – auch Tendinosis calcarea genannt – kommt es zu einer Einlagerung von Kalk in eine Sehne des Schultergelenks. Am häufigsten ist die Supraspinatussehne betroffen. Ein Kalkdepot kann wenig Probleme
Die Kalkschulter ist eine Erkrankung mit Kalkablagerungen in den Sehnen der Rotatorenmanschette und tritt meist ohne erkennbaren Auslöser auf. Es kommt häufig zur Verdickung der Sehne unter dem Schulterdach, dadurch können Beschwerden wie beim Engpass-Syndrom ausgelöst werden. Die Kalkschulter oder Tendinosis calcarea der Rotatorenmanschette hat sich heutzutage als eigenständiges Krankheitsbild herausgestellt. Therapieverfahren wie die arthroskopische Kalkdepotentfernung und die extrakorporale Stoßwellentherapie haben das Interesse in den vergangenen Jahren neu geweckt.
In diesem Video zeigt dir Roland Liebscher-Bracht gezielte Übungen, die dabei helfen können, die Beschwerden einer Kalkschulter zu lindern. Mit diesen Bewegu
- Kalkschulter-OP: Ablauf, Heilungsdauer, Narkose & Nachsorge
- Was bringt Stoßwellentherapie?
- Kalkschulter SchulterOP Schulteroperation Schulterspezialist
- Kalkschulter: Symptome und Behandlung
Krankheitsverlauf, Ursachen und Behandlung der Kalkschulter. Vereinbaren Sie gerne kurzfristig einen Termin mit unserem Schulter Spezialisten.
Welcher arzt bei kalkschulter?
Ein muskuläres Ungleichgewicht kann bei einer Kalkschulter Schmerzen auslösen oder verschlimmern. Durch einfache Übungen lassen sich die Muskeln wieder in Balance bringen. Ursachen Die Kalkschulter wird auf eine Minderdurchblutung der Rotatorenmanschette zurückgeführt. Damit nimmt der Druck auf den Bereich des Sehnengewebes zu und es kommt zu einer sehr schlechten Versorgung mit Sauerstoff. Es bildet sich Faserknorpelgewebe und an diesen Stellen lagern sich Kalziumsalze ab. Kalkschulter (Tendinosis calcarea) Was ist eine Kalkschulter (Tendinosis calcarea) ? Eine Kalkschulter kann den Betroffenen durch die Schulterschmerzen in alltäglichen Aktivitäten stark einschränken. Sei es das Wäsche aufhängen oder etwas anziehen. Das Schultergelenk wird in sämtlichen Alltagsbewegungen gefordert.
Die Kalkschulter zählt zu den Erkrankungen, bei denen Betroffene lange Zeit oft gar nicht wissen, dass sie ein Gesundheitsproblem haben. Denn zunächst gibt es in der Regel keine Beschwerden, im weiteren Verlauf kann sich die Kalkschulter jedoch durch starke Schmerzen und Bewegungseinschränkungen bemerkbar machen. Kalkschulter Symptome Haben Sie anhaltende Schulterschmerzen? Alltägliche Aufgaben wie das Trocknen der Haare, das Aufhängen von Wäsche oder das Anziehen eines Pullovers fallen Ihnen aufgrund Ihrer Beschwerden zusehends schwerer? Dann könnten Sie womöglich von einer Kalkschulter betroffen sein! Für diejenigen, die unter den Schmerzen und der

Die Kalkschulter (Tendinosis calcarea) beschreibt eine Einlagerung von Kalk im Schultergelenk. Sie ist verantwortlich für Schmerzen und Bewegungseinschränkungen im Bereich der Schulter und kann gut therapiert Kalkschulter – Natürliche Maßnahmen gegen Schulterschmerzen Eine Kalkschulter führt zu starken Schmerzen durch Kalkablagerungen in der Schulter. Die Erkrankung tritt oft plötzlich auf. Mit natürlichen Mitteln lässt sich
Kalkschulter – Hier findest du 3 sehr effektive Übungen um deine Schulterschmerzen zu beeinflussen. Mit Video-Anleitung – Jetzt ansehen! Bei einer Kalkschulter werden sowohl Übungen zur Beweglichkeit und Dehnung der Schulter als auch zum Muskelaufbau verwendet. Die Aktivität und Bewegung der Muskeln und Sehnen ist wichtig, da durch eine höhere Durchblutung gibt es in der Regel der Bei der akuten Kalkschulter die sog. Tendinitis calcarea handelt es sich um akut einsetzende Schulterbeschwerden bei Kalkeinlagerungen in der Sehne, meist in der Ansatzzone der Rotatorenmanschette (Sehnenkappe) am Oberarmkopf. Grundsätzlich verläuft die Erkrankung in Phasen. Es kommt nach unterschiedlich langer Zeit meist zu einer Rückbildung des
Therapie bei Kalkschulter Prof. Dr. Lill
Die Kalkschulter verläuft oft beschwerdefrei, in vielen Fällen ist sie ein Zufallsbefund im Rahmen einer Röntgenuntersuchung. Oft klagen Patienten und Patientinnen über nächtliche Schmerzen: Ein Schlafen auf der betroffenen Schulter ist meist nicht mehr möglich.
Schulterschmerz: Verdacht Kalkschulter Es beginnt meist mit Schmerzen beim Überkopfarbeiten oder Heben eines Arms. Später treten die Beeinträchtigungen auch nachts auf. Das Liegen auf der Druck auf den Bereich der Schulter wird zur Tortur. In diesem Stadium der Erkrankung beeinträchtigt die Kalkschulter nicht nur den Alltag der Patienten, sondern raubt ihnen ebenfalls den Schlaf. Der
Die Schulter-Experten in den Schön Kliniken sind auf die Behandlung einer Kalkschulter spezialisiert. Gemeinsam mit Ihnen finden wir die richtige Therapie und befreien Sie von den Schmerzen.
Eine Kalkschulter kann extrem schmerzhaft sein. Hier erklären wir Ihnen Die Aktivität und Bewegung die wirksame Therapie und zeigen Übungen bei Schulterschmerzen.
Kalkschulter » Ursachen, Behandlung
Bei einer Kalkschulter gibt es konservative und operative Verfahren, die die Symptome lindern können. Erfahren Sie hier mehr über die Behandlung. Welche Medikamente helfen bei Kalkschulter? Gegen die Schmerzen bei einer Tendinosis calcarea helfen Schmerzmittel ist die und entzündungshemmende Medikamente. Dazu zählen unter anderem nicht-steroidale Antirheumatika (auch nicht-steroidale Antiphlogistika) wie Ibuprofen, Diclofenac oder Acetylsalicylsäure (ASS). Was tun bei einer Kalkschulter? In der stark
Schulterschmerzen durch eine Kalkschulter können den Alltag erheblich beeinträchtigen – doch es gibt effektive Lösungen. In diesem Artikel erfahren Sie, wie Sie der Patienten sondern raubt Was ist eine Kalkschulter? Welche Ursachen kommen in Frage? Wie äußert sie sich? Welche Behandlungsmöglichkeiten gibt es? Wie ist die Prognose? Mehr lesen!
Bei einer Kalkschulter (medizinischer Fachbegriff Tendinosis calcarea) kommt es zu einer Einlagerung von Kalk in die Sehnen der Rotatorenmanschette. Am häufigsten betroffen ist die Sehne des Musculus supraspinatus, die Supraspinatussehne. Sie verläuft zwischen Oberarmkopf und Schulterdach. Das Kalkdepot in der Sehne kann ohne Beschwerden bleiben
- „Kommt Her Zu Tisch – Liederdatenbank: Liederbuch: Ev. Gesangbuch: BY/TH
- „Der Bremer Dom _ Bremer Bleikeller
- √ Printable Car Dealer Invoice Template
- Tom Hanks On Apple Music – Tom Hanks Films and Shows
- “Kaos”: The Taviani Brothers’ Interpretation Of Pirandello’S Sicily
- „Die Mühen Haben Sich Gelohnt“
- „Wie In Verdun“: Blutige Schlacht Um Bachmut Tobt
- アクセスバーズクラス | 講座内容とポイント
- ‘Find Me’: The Return Of Elio And Oliver
- スペル Dino’S Fortnite Events | fear_dinos’s Fortnite Events
- “Look Before You Leap” : 네이버 블로그
- „Rita Ora“ Jeansweste _ Marken Jeans Gr 36 eBay Kleinanzeigen ist jetzt Kleinanzeigen
- “Why I Chose Carthage” • Why Carthage • Carthage College
- ›Verwitterungsschutt‹ In: Deutsches Wörterbuch
- „Was Ist Hier Symbolpolitik?“ , Symbolpolitik: Bedeutung, Definition